23 лютого на Житомирщині стартує місячник боротьби з туберкульозом. Цьогоріч він проходить під гаслом «Об’єднуймось, щоб покласти край туберкульозу».
Основною метою проведення місячника по боротьбі з туберкульозом є активізація діяльності щодо запобігання виникненню і поширенню захворювання на туберкульоз, пропаганда здорового способу життя та підвищення інформованості населення про симптоми, особливості лікування та профілактики туберкульозу.
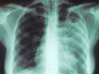
Головний лікар обласного протитуберкульозного диспанеру Віталій Дідик, закликає жителів області протягом місяця пройти флюорографічне обстеження в поліклінічних відділеннях закладів охорони здоров’я області.
Тут можна отримати консультації та вичерпну інформацію щодо методів захисту від зараження туберкульозом та закладів, де надається спеціалізована медична допомога.
Всього в рамках місячника планується охопити профілактичними флюорографічними оглядами близько 50-ти тисяч жителів області.
Особлива увага приділятиметься обстеженню осіб, віднесених до соціальної групи ризику.






